Доказательная медицина от хирурга-гинеколога Дмитрия Валерьевича Прынь

ЭРОЗИЯ ШЕЙКИ МАТКИ

БЕРЕЖНОЕ ЛЕЧЕНИЕ
БЕЗ ПРИЖИГАНИЯ

Лечение эрозии шейки матки в Краснодаре у врача Дмитрия Валерьевича Прыня — опыт диагностики и терапии с 2015 года

Углубленно занимаюсь диагностикой и лечением патологии шейки матки с 2015 г.

Диагностика и лечение эрозии шейки матки по международным протоколам у врача Дмитрия Валерьевича Прыня в Краснодаре

Применяются международные протоколы в диагностике и лечении

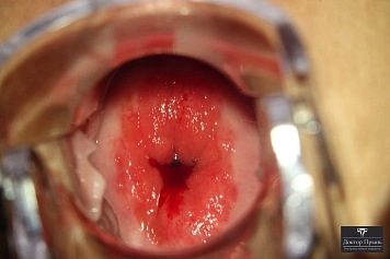
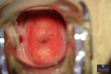
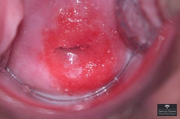
Осмотр при эрозии шейки матки на немецком кольпоскопе Leisegang у врача Дмитрия Валерьевича Прыня в Краснодаре

Используется передовой немецкий кольпоскоп Leisegang

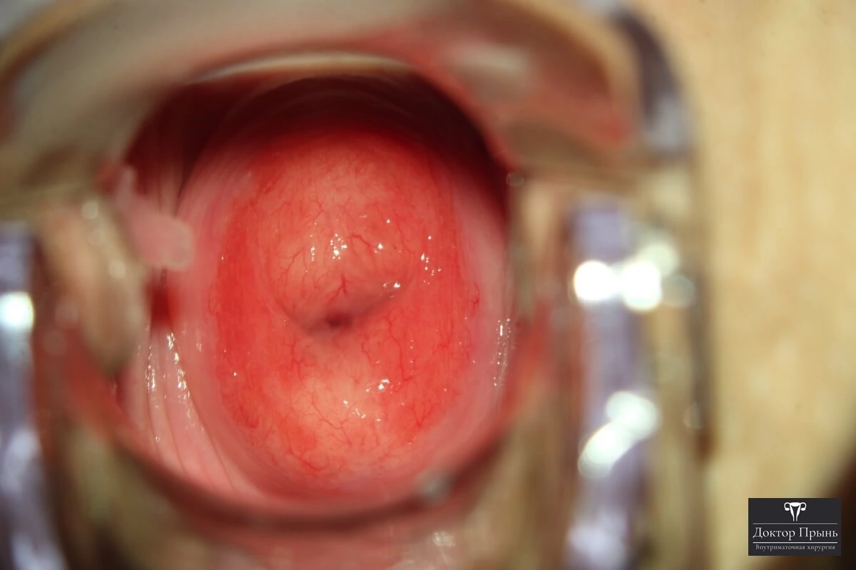
После обследования при эрозии шейки матки пациент получает снимки высокого качества результатов у врача Дмитрия Валерьевича Прыня

После проведения процедуры предоставляются снимки в высоком разрешении

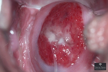
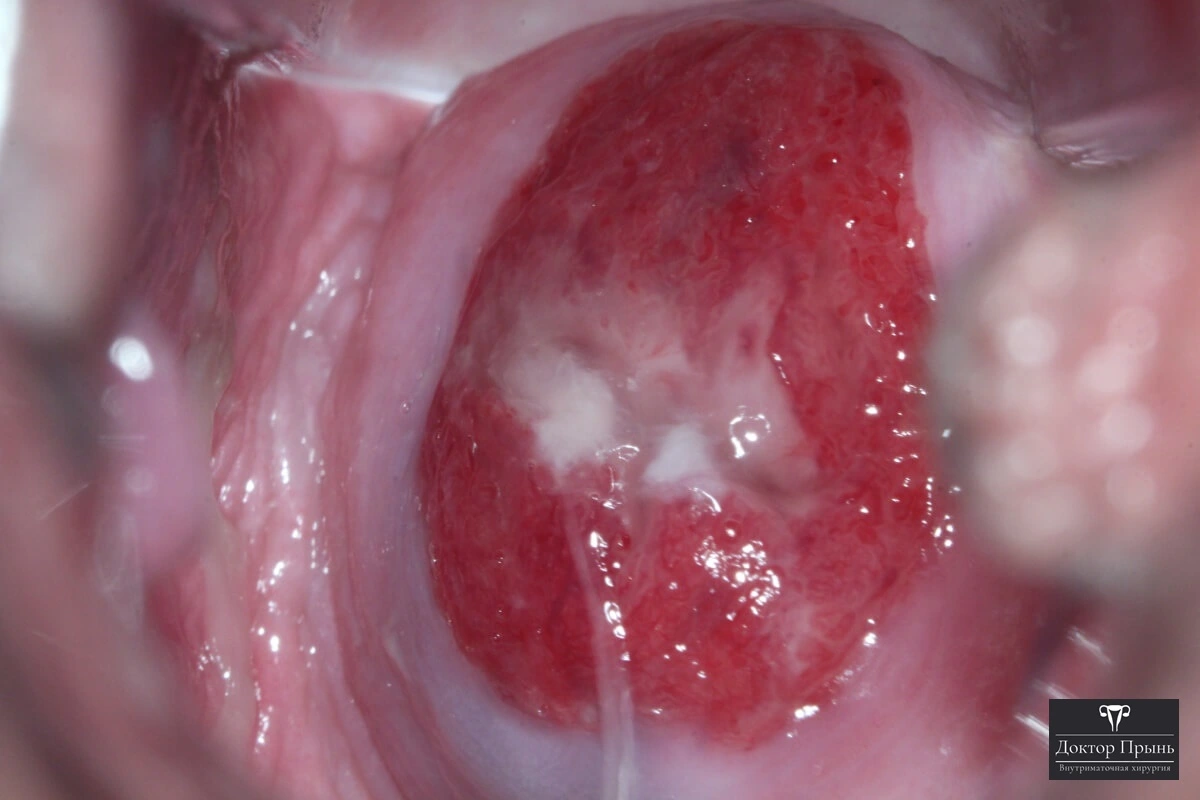
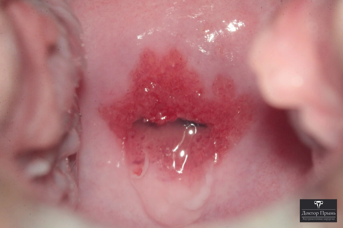
Что такое эрозия шейки матки

«Эрозией» называют красный участок на шейке матки. Так выглядит тяжёлая дисплазия (предрак), поэтому ещё в СССР гинекологи решили избавить женщин от красных пятен для победы над раком, и начали тотальное «прижигание». Несколько поколений выросло с убеждением опасности красного пятна на шейке и готовностью от него избавиться при малейшем упоминании. А упоминают о нём часто до 25 лет. Чтобы понять, верную ли дорогу выбрало здравоохранение, посмотрим на график заболеваемости раком шейки матки (РШМ). Заболеваемость как росла, так и растёт! Прижигание эрозий девушкам не повлияло на результат. Аналогичная ситуация с удалением фиброаденом и раком молочной железы. Фиброаденомы удаляют каждый день от Калининграда до Владивостока, а заболеваемость РМЖ не снижается. Но вернёмся к шейке.

Красным пятном выглядит и нормальный цилиндрический эпителий, который никакой опасности не представляет, соответственно его удаление не влияет на заболеваемость РШМ. Дисплазия же бывает и без красного пятна на шейке, плюс в большинстве случаев после 30 лет.

Отличить нормальный эпителий от дисплазии позволяет кольпоскопия. На глаз при осмотре не получится.

Этапы проведения процедуры по лечению эрозии шейки матки

Этап 1
Проводится кольпоскопия и определяется зона эктопии.

Этап 2
Выполняется местная анестезия. 

Этап 3
Под контролем кольпоскопа безболезненно удаляется эктопия лазером. Глубина удаления 1-2 мм, что не вредит шейке матки и не приводит к проблемам с вынашиванием в будущем.

Этап 4
Место удаления эктопии обрабатывается специальной мазью с антибактериальным, обезболивающим и стимулирующим регенерацию эффектом. 

Этап 5
Завершение проведения процедуры. Контрольный визит к гинекологу не требуется. 

Этап 6
Возвращение пациентки к нормальной повседневной жизни. В течение месяца необходимо соблюдать половой покой, ограничить физические нагрузки, не посещать бассейны, сауны и не купаться в открытых водоемах. 

Преимущества

1

Записаться на консультацию
к гинекологу

  1. Лечение, основанное на международных рекомендациях

    Лечение, основанное на международных рекомендациях

  2. 15 лет опыта в гинекологии

    15 лет опыта в гинекологии

  3. Без лишних препаратов

    Без лишних препаратов

  4. Без лишних анализов

    Без лишних анализов

Особенности лечения

По своему строению цилиндрический эпителий более тонкий, через него лучше просвечивают сосуды, поэтому выглядит ярко-красным. Женщины рождаются с такой шейкой, к 25 годам «тонкий» эпителий замещается на «толстый», и красное пятно исчезает, но так происходит не у всех. У части девушек цилиндрический эпителий остаётся на шейке матки дольше. Лечить подобное строение не требуется, как мы не лечим губы на лице, хоть они тоже красные. Правда есть особенности. Цилиндрический эпителий выделяет слизь. Когда этого эпителия много, то и слизи много. Постоянные выделения вызывают дискомфорт, являясь при этом нормальными.

Другая особенность – повышенное количество лейкоцитов в мазке. Если нет возбудителей инфекций, передающихся половым путём, нормальный рН влагалища, то бороться с этим повышением лейкоцитов нет смысла. Через короткое время после лечения их уровень вернётся к первоначальному значению.

Комбо-эффект: и выделения, и лейкоциты. Здесь некоторые гинекологи попадают в ловушку и начинают неистово лечить: назначают многократные курсы санации влагалища, включающие по 12 препаратов, физиотерапию, лечение партнёра, запрещают беременность. Это бесполезно - нельзя вылечить норму!

Если цилиндрического эпителия не было, он способен появиться после родов, когда происходит естественный выворот шейки.

Тогда девушка замечает повышенное количество выделений, по сравнению с дородовым периодом, при восстановлении менструального цикла. Как правило, и количество лейкоцитов в мазке увеличивается. 

Если выделения мешают жить и нет сил терпеть, допустимо удалить цилиндрический эпителий, например, лазером. Нет цилиндрического эпителия – нет выделений. Правда, к предотвращению РШМ это уже не относится.


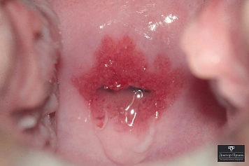
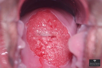
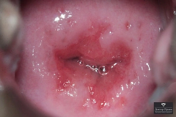
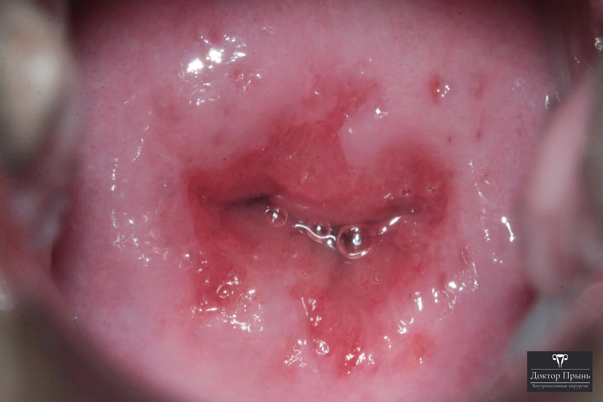
Фотогалерея

Цены: Эрозия шейки матки

# Наименование услуги Цена
1 Аблация 7 000 рублей
2 Эксцизия 45 000 рублей
3 Конизация 45 000 рублей
4 Вапоризация 35 000 рублей
5 Удаление генитальных кондилом - единичные 10 000 рублей
6 Удаление генитальных кондилом - множественные 30 000 рублей
7 Кольпоскопия 7 000 рублей
8 Биопсия шейки 8 000 рублей
9 Гистологическое исследование биопсийного материала  2 500 рублей

Честные отзывы пациентов

  • А

    Анонимный пациент 6

    По результатам УЗИ​ в районном ЖК г. Сочи мне был поставлен диагноз «полипоз эндометрия». Рекомендовано «выскабливание​», которое, к слову, я перенесла бы очень и очень тяжело в силу проблем с свёртываемостью крови. Причём на момент постановки диагноза у меня был ферритин 3, и гинеколог сказала, что меня ни один хирург не возьмёт на операцию, так как слишком рискованный пациент (забегая вперёд скажу, что когда пошла в ЖК забирать результаты обследований, которые нужны перед операцией, услышала слова заведующей, которые она мне сказала: «Вам не поможет гистероскопия​. Вам нужно удалять матку».). Пока я поднимала свой ферритин и гемоглобин, жила в ужасе от мысли о предстоящей чистке, а с учётом того, что в 2005 г. при операции был анафилактический шок​ на наркоз, я боялась эту самую чистку ещё больше. И однажды, читая в интернете медицинские статьи, как проходит выскабливание при полипозе, я перешла по маленькой рекламе, которые так часто и назойливо выскакивают в интернете, и попала на страницу «Evi Clinic». Почитала на сайте клиники, что в ней удаляют полипы, миомы​ и лечат другие гинекологические заболевания офисной гистероскопией. Естественно, начала изучать информацию по этому вопросу, что за инструмент, как проходит операция, почему без наркоза, какие осложнения могут быть или не быть. Читала отзывы женщин, которым ранее проводили подобное вмешательство. Потом в [...] нашла канал хирурга, который проводит данную операцию. Связалась с доктором, описала свою историю и ситуацию. После ответа доктора решила ехать. Сказать, что было страшно - ничего не сказать. К большому сожалению, в своей жизни я перенесла очень много плохого и болезненного, что связано с плохим качеством оказания медицинских услуг и нарушений основ деонтологии, причём это было и в платной, и в бесплатной медицине. Пока ехала из Сочи в Краснодар, была «ни жива ни мертва» от страха. В голове крутились картинки, что буду истекать кровью и потеряю сознание прям во время операции и лишь бы меня не приводили в чувство. Пусть сначала все ненужное удалят, а потом откачивают. Хоть и читала отзывы женщин в интернете [...] страх все равно остался. Уже в клинике увидела моего доктора Прынь Дмитрия Валерьевича, и о, чудо, он был спокоен, улыбался, и это меня понемногу успокаивало. Он не был той букой за маской, как выглядит большинство врачей, с кем мне приходилось общаться. Расспросил о жалобах, внимательно слушал, не торопил, ответил на все мои вопросы, рассказал, как будет проходить операция, и что его пациентки от боли сознание во время операции не теряют. :) Медсестра выдала одноразовую одежду, морально помогла настроиться на манипуляцию. Само вмешательство проходило безболезненно. Дмитрий Валерьевич предупредил, что могут быть ощущения, как при первом дне менструации. С подобными болями я не знакома, но с учётом овуляторного синдрома, который меня мучает всю женскую жизнь, когда температура поднимается и тошнит, и давление прыгает, и болит три дня до и потом один после овуляции, и порой от боли теряла сознание, я морально была готова была потерпеть эфемерную боль первого дня цикла. А боли-то и не было.

    5/5
  • А

    Анонимный пациент 5

    Я обратилась в клинику к Прынь Дмитрию Валерьевичу! Хочу сказать, забегая наперёд, что на приём к этому доктору я готова ехать хоть на край света! Это врач с большой буквы! Он профессионал своего дела! У него великие знания! Он помог мне вылечить мою грудь! Назначил верное лечение, которое дало результат! На контрольном УЗИ уже ничего не было! Смело могу заявить, что только этому доктору я готова доверить свое здоровье! Особенно в таком важном и сложном направление, как маммолог! Ему нет равных!

    Понравилось
    Очень тщательно, внимательно, уделяя необходимое количество времени, делал УЗИ, не пугая, спокойно и всё комментируя. Очень доброжелателен! Очень благодарна, что я узнала о таком докторе! Сам Бог послал!

    Не понравилось
    Такого нет.

    5/5
  • m

    mariastro789

    Благодаря Дмитрию Валерьевичу я забеременела! Доктор от бога Операция — Оффисная гистероскопия прошла полностью безболезненно и быстро. Доктор просто прекрасный профессионал своего дела, очень чуткий и добрый! Я была в восторге! Спасибо вам за вашу работу 

    Понравилось:
    Все очень понравилось.

    5/5
  • А

    Анонимный пациент 4

    Считаю большой удачей, что попала вовремя в «Evi Clinik» к доктору Прыню Дмитрию Валерьевичу. С помощью офисной гистероскопии​ он решил мою большую проблему по гинекологии с наименьшими затратами здоровья, времени и денег. Дмитрий Валерьевич грамотный специалист, ориентированный на здоровье пациента, а не на «развод» на ненужные процедуры, анализы​ и т. п. Спасибо огромное врачу и его ассистирующей медсестре Ирине за профессиональную помощь, доброе и внимательное отношение. Хотелось бы видеть в медицине таких.

    Понравилось:
    Все очень понравилось.

    5/5
  • А

    Анонимный пациент 3

    Меня отправила к этому замечательному доктору мой врач-гинеколог на удаление полипа, была офисная гистероскопия​, мне есть с чем сравнивать. 1 гистероскопия была проведена в другой клинике, перенесла я ее ужасно и очень болезненно, в этот же день после процедуры через несколько часов у меня поднялась температура, была слабость. Вторую процедуру я сделала в «Evi Clinic» у врача Прыня Дмитрия Валерьевича, спасибо Вам большое! Самочувствие после процедуры было прекрасное, никаких болевых симптомов я не ощущала. Я Вам очень благодарна!

    Понравилось:
    Абсолютно безболезненно.

    5/5
  • А

    Анонимный пациент 2

    Обратилась к Дмитрию Валерьевичу по рекомендации и так же буду рекомендовать этого врача от Бога! Внимательно изучил мою проблему, провёл мне офисную гистероскопию​ просто волшебно, благодаря своему опыту, знанию, мастерству! Операция совершенно безболезненная, проводится без наркоза, после процедуры совершенно нет никакого дискомфорта, сразу отправляешься домой! Всё прошло на высшем уровне, моя сердечная благодарность и низкий поклон Дмитрию Валерьевичу! Так же выражаю огромную благодарность медсестре Марии, прошу прощения, что без отчества, ща её очень внимательное отношение! Женщины, милые, жалейте себя, если нужен опытный, грамотный, внимательный врач, то это Прынь Дмитрий Валерьевич! Рекомендую от всего сердца!

    5/5
  • Т

    Тамара

    Меня отправила к этому замечательному доктору мой врач-гинеколог на удаление полипа, была офисная гистероскопия​, мне есть с чем сравнивать. 1 гистероскопия была проведена в другой клинике, перенесла я ее ужасно и очень болезненно, в этот же день после процедуры через несколько часов у меня поднялась температура, была слабость.

    5/5
  • А

    Анонимный пациент 1

    Была у врача на офисной гистероскопии​! Сказать, что меня трясло перед процедурой - ничего не сказать. Я не почувствовала ничего. Врач меня уверил, что без обезбола, все будет хорошо, может быть просто неприятно. Девочки, я не почувствовала ничего! Даже неприятно не было. Просто было ощущение, что что-то делают и все. Медсестра чудесная девушка, помогала очень! Планировалась еще биопсия шейки матки​. Врач предложил взять мазок, чтобы я не переплачивала за биопсию​. И она мне, действительно, не нужна была, хотя в другой клинике уверяли о другом. Также я проконсультировалась в другой клинике об офисной гистероскопии ценник вышел 113000 рублей, и это под наркозом. Желаю всем добросовестных врачей, как Дмитрий Валерьевич! И прекрасных медсестер, жаль, что не запомнила имя!

    Понравилось:
    Все!

    5/5
  • а

    анонимно

    Добрый день. Благодаря данной процедуре на подсадку я шла с эндометрием 9,5, что никогда не было у меня в жизни!(Всегда был максимум 6,5) И да, я забеременела

    5/5
  • Кристина

    В клинику обратилась для консультации по результатам маммографии. По рекомендации гинеколога обратилась к врачу-маммологу Прынь Д. В. Дмитрий Валерьевич изучил КТ и дал рекомендации по дальнейшему обследованию. Рассказал о современных методах исследования, и в каких случаях операция не нужна, так как есть более щадящие методы. Жаль, что раньше не знала об этом. Советую этого врача.

    Понравилось:
    Внимательное отношение, заинтересованность врача и желание помочь.

    Не понравилось:
    Нет такого.

    5/5
  • Светлана

    Я обратилась в клинику по поводу кист в груди. Этот вопрос меня мучает много лет, хотела уже получить окончательный ответ, что мне делать. Обратилась к доктору Дмитрию Валерьевичу Прынь. Жаль, что не решилась приехать на прием раньше, ходила с тревожностью от риска развития рака много лет. В груди есть кисты после удара, наблюдаюсь много лет, каждый год УЗИ и маммолог, как оказалось, в моем случае, зря. Дмитрий Валерьевич все объяснил и рассказал, какие обследования и когда мне стоит сделать. Отменил не нужные БАДы (собственно они меня и смутили после последнего визита к другому врачу).

    Понравилось
    Вежливо и тактично все обьяснил с научной точки зрения. Вышла с облегчением после приема. Рада, что есть такой островок адекватности. Ради этого ездим из другого города. До этого неоднократно обращались к педиатрам. Были у всех, результатом довольна.

    Не понравилось
    Все понравилось. Жаль, в нашем городе нет "Evi Clinic".

    5/5
  • 39 лет

    Рита

    Была на приеме по офисной гистероскопии у доктора Прынь Дмитрия Валерьевича. Все прошло замечательно! Было совсем не больно, минимальный дискомфорт. Быстро, буквально за 7 минут, доктор удалил полип. Встала, и ощущения были, как просто, после обычного осмотра. Доктор профессионал! Попасть к такому доктору никаких денег не жалко! Спасибо, Дмитрий Валерьевич, за ваш труд, за наше женское здоровье! Хочу поблагодарить медсестру. Очень вежливая, спокойная, добрая. Поддерживала во время процедуры. Сервис прекрасный в целом, девочки на ресепшене тоже приятные, вежливые.

    5/5
  • 39 лет

    Анастасия

    Я обратилась к доктору Прынь Дмитрию Валерьевичу по рекомендации моего репродуктолога. У меня серьезная проблема с маткой. Синдром Ашермана (сильный спаячный процесс) и большая миома. 4 года назад мне сообщили, что ничего сделать нельзя и нет никакой надежды, что я стану мамой самостоятельно. В нескольких клиниках Краснодара и Москвы никто не взялся мне помочь, все только разводили руками и сочувствовали. Дмитрий Валерьевич просто гений! Не передать словами, насколько я ему благодарна! Сейчас мы только в начале пути. Сделали первую гистероскопию. Все прошло по плану. Я счастлива, что у меня появилась надежда! И я верю, что с таким доктором у нас все получится! Я от всей души желаю другим женщинам, которые имеют проблемы с репродуктивной системой, попасть на прием к Дмитрию Валерьевичу. Очень грамотный и неравнодушный, что очень важно, специалист. Уверена, если в его силах вам помочь, то он это сделает.

    Понравилось:
    Единственный в стране хирург, который так искусно работает со спайками и миомами с помощью гистероскопа.

    Не понравилось:
    Все понравилось. Удобная запись и отзывчивый персонал.

    5/5
  • 49 лет

    Ольга

    Обратилась к Дмитрию Валерьевичу по направлению от другого врача. Офисная гистероскопия пошла незаметно, безболезненно. Приятный доктор, приятная медсестра. Спасибо большое. Обязательно обращусь еще. Рекомендую доктора.

    5/5
  • 56 лет

    Ирина Васильевна

    Огромная благодарность Дмитрию Валерьевичу, профессионалу высочайшего уровня, которого отличает бережное отношение к женщине. Операция-офисная гистероскопия. Пациент я сложный, возрастной. На УЗИ был выявлен полип, очень большой 30 мм, поэтому пришлось делать операцию в два этапа (1 и 20 апреля), на второй операции были удалены еще два полипа меньших размеров. Обе операции прошли безболезненно, в спокойной обстановке. Во время операций и доктор и медсестра постоянно интересовались моими самочувствием. Дмитрий Валерьевич объяснял что происходит, предупреждал, когда могли быть болезненные ощущения, но их не было. После обеих операций спокойно встала и отправилась домой. Жаль, что не знала об этом докторе раньше. Теперь буду доверять свое здоровье только ему. Успехов, удачи и здоровья доктору. Рекомендую всем, у кого есть подобные проблемы, обратить внимание и воспользоваться офисной гистероскопией.

    О докторе: высокий профессионализм, внимание в пациенту, объяснение проблемы доступным языком, выходишь с первичного приема с ощущением, что все разрешимо. Все по существу. В целом в клинике доброжелательный ненавязчивый персонал. Все спокойно, доброжелательно.

    5/5
  • 36 лет

    Инна

    Мне посоветовали врача Прынь Дмитрия Валерьевича. Первый прем длился час. Он только 25 минут сделал УЗИ молочных желез и обнаружил то, что другие врачи даже не видели. Второй раз через пару дней после первого приема сделали биопсию, тоже очень довольна как все прошло. Теперь будем ждать результата. Теперь я знаю, если к маммологу-тогда только к нему.

    5/5
  • 40 лет

    Анжела

    Была сегодня 15. 06. 2023 на приеме у Прынь Д. В., сказать, что я в шоке это ничего не сказать! В шоке от радости, что была на приеме у такого замечательного доктора! Я пришла уже с готовой гистероскопией, которую мне делали в моем городе, не хочу описывать, как мне что провели и сделали в моем городе, потому что это будет бестактно, но посыл, думаю, понятен. Как только врач взял в руки документы, сразу сказал: что этот диагноз не информативен, потом мы следом провели офисную гистероскопию, диагноз врача подтвердился! Но в шоке я от того, что только Дмитрий Валерьевич смог поставить мне правильный диагноз, который я искала больше 3-х лет. Врач предложил мне варианты исключения моей проблемы, буду с нетерпением ждать новый цикл, чтобы провести операцию. Дмитрий Валерьевич, я искренне буду рада, что вы увидите мой отзыв! И все девушки, которые ищут того самого врача с большой буквы! Это моя личная рекомендация! Дмитрию Валерьевичу желаю успехов в работе, достижениях всех поставленных целей и крепкого здоровья!

    5/5
  • 35 лет

    Елена

    Обратилась к Дмитрию Валерьевичу с проблемой, которая была обнаружена 6 лет назад, а именно - ВПЧ 16 типа и изменения в кольпоскопии. До этого врачи лечили неэффективными препаратами, свечами и БАДами. Дмитрий Валерьевич сразу посоветовал не медлить и провести эксцизию шейки, так как ВПЧ сохранялся 6 лет. В день проведения манипуляции очень волновалась и жутко боялась боли, но благодаря Дмитрию Валерьевичу всё прошло чудесно. Из самого неприятного был, пожалуй, только укол, а сама эксцизия была проведена очень аккуратно. Врач разговаривал, подбадривал и всегда интересовался самочувствием. После эксцизии поражённый участок был отправлен на гистологию, и, как результат, была обнаружена дисплазия 2-3 степени. После операции надобности связываться с врачом не было, так как не было сильной боли и выделений, только первая менструация была более обильная, что вызвало у меня испуг, но и цикл вскоре нормализовался. Спустя два месяца 16 тип ВПЧ в анализе не обнаружен. Спасибо большое Дмитрию Валерьевичу за ювелирную работу и его профессионализм! Теперь предстоит наблюдаться и проверять шейку каждые полгода! Надеюсь наблюдать и будущую беременность у этого врача

    5/5
  • 44 года

    Екатерина Ч.

    Неоднократно я обращалась к Дмитрию Валерьевичу с различными проблемами, была проведена гистероскопия, кольпоскопия. Приемы проходят максимально комфортно, все процедуры выполнены абсолютно безболезненно! Хочу отметить высочайший профессионализм доктора, а так же регулярное повышение квалификации. Выражаю вам огромную благодарность, за то, что всегда даются чёткие рекомендации, без назначения лишних препаратов и процедур, и для этого требуется гораздо больше знаний, чем для назначения десятков препаратов всем подряд "на всякий случай". Очень рада, что в нашем городе есть специалисты такого уровня! Желаю вам всего самого наилучшего, процветания и успехов! С уважением, Екатерина Ч.

    5/5
  • 42 года

    Яковенко Е.

    Обратилась к Прынь Д. В. в январе 2023 года после обследования и неудачного лечения ДШМ по месту жительства. Очень переживала перед приемом, но зря. Доктор очень внимательно выслушал, сделал осмотр, кольпоскопию. Объяснил дальнейший план лечения, не назначая лишних анализов и препаратов. Далее была выполнена эксцизия ШМ с гистологическим исследованием и вакцинация. Сама процедура была выполнена безболезненна, очень аккуратно. Больше переживала. :) Анализы пришли те, что и предполагал Дмитрий Валерьевич. Спустя полгода по результатам кольпоскопии и анализам все в пределах нормы, чему я очень рада. Самое важное, что доктор работает по европейским стандартам, не назначая кучи бесполезных лекарств и обследований. Ну и немаловажный фактор, что доктор очень вежливый, внимательный, располагает к себе. Я очень рада, что обратилась именно к нему. Безмерно благодарна. С уважением, Яковенко Е.

    5/5
  • 38 лет

    Валерия

    Дмитрий Валерьевич дважды помогал мне при проблемах с грудью за время моего долгого грудного вскармливания. Этот доктор вызывает у меня уважение, доверие и восхищение. Профессионал, тактичен при общении с пациентом. Я выбираю качественную медицину, какое счастье, что в нашем городе есть такие достойные врачи! Очень грамотный доктор, объясняет необходимость применения препаратов или методов исследования. Никогда не назначит лишнего.

    5/5
  • 37 лет

    Ангелина

    Дмитрий Валерьевич проводил процедуру «офисная гистероскопия», мне очень понравилось отношение врача, сама процедура очень волнительная, но прошла легко! Больно не было, немного местами неприятно. Врач к себе очень располагает своим профессионализмом. Подробно рассказал, как все прошло! Ждём результат и далее лечение если потребуется! Однозначно, рекомендую данного врача, как грамотно специалиста, которому можно доверять! Все понравилось! Медсестра ассистент очень приятная! Ей огромное спасибо за поддержку!

    5/5
  • 39 лет

    Дина

    У меня остались хорошие впечатления от визита. Я обратилась с жалобой и готовым диагнозом, брала с собой предварительные исследования. Дмитрий Валерьевич внимательно их изучил, как я поняла, после 40 лет, каждые 1-2 года нужно будет делать маммографию. Врач провел осмотр, действовал тактично, аккуратно и компетентно. В общении он показался мне спокойным, размеренным и грамотным. Специалист не использовал сложные медицинские термины, все было понятно и доступно. Он не спешил и не отвлекался во время приема, не покидал кабинет. Думаю, уделенного времени хватило, чтобы получить всю информацию. Дмитрий Валерьевич ответил на вопросы, замечаний или пожеланий нет. Я бы пришла снова к этому доктору и порекомендовала бы друзьям и знакомым.

    5/5
  • 32 года

    Арина В.

    Сегодня была на консультации у данного доктора, все понравилось. Развеял мифы об эрозии и воспалениях. До данного лечили регулярно непонятно что, обошла множество докторов, к нему трусила идти из-за того, что мужчина, но доктор предрасположил к себе, и все прошло удобно. Чрезвычайно советую данного врача! Вы останетесь довольны! Наконец-то за 7 лет я услышала, что я здорова, и что выделения у меня нормальные, никаких воспалений нет. Ура! Все понравилось! Девушки, идите только к нему, очень толковый и классный специалист.

    5/5
  • 34 года

    Римма

    Доктор Прынь потрясающий молодой врач доказательной медицины! Благодаря ему открыла ее для себя! Понравилось все, скрупулёзный подход к делу, постоянная тяга к обновлению знаний, ну и конечно оказанная помощь, которая помогла тотчас же забеременеть! Это новая волна врачей, которые лечат вас только тем и как необходимо, регулярно изучают и разбираются в том, что точно работает! Обходя денежную выгоду, лишние анализы, и лечение «по старинке». Всем советую данного чудесного врача! Спасибо врачу Прынь!

    5/5
  • 30 лет

    Ева

    Профессионализм врача. Все прекрасно. Настоящий профессионал. Для которого конечная цель - здоровье больного! Не "залечит" и не загоняет вас по ненужным обследованиям и анализам, никаких ненужных назначений. Высококлассный профессионал, вежливый и деликатный. Кольпоскопию делает очень бережно, никаких дискомфортных ощущений, словно обычный осмотр. На все вопросы дает ответы детально и терпеливо. Долго не могла решиться записаться на консультацию к гинекологу-мужчине, счастлива, что приняла верное решение и пришла на консультацию. Теперь исключительно к Дмитрию Валерьевичу! Здоровья и успехов Вам, врач!

    5/5
  • 36 лет

    Сабина

    Ответственное отношение к работе. Анализы исключительно по делу. Лечение, которое в самом деле помогает. Сколько докторов пришлось обойти, пока подруга не порекомендовала этого талантливого доктора. Что только не ставили предыдущие доктора... И бесплодие... И непроходимость труб... Говорили, если и удастся забеременеть, то это станет чудо. При данном назначая кучу препаратов, которые половина и вовсе не помогали... В 2019 году начала посещать клинику, где принимал Дмитрий Валерьевич. Все по делу, ненужного не выписывал, давал советы. В мае отправил меня на операцию - обнаружил по УЗИэндометриоз, сказал срочно оперироваться, после 3 месяца искусственного введения в климакс... И после данного через 2 месяца получилось забеременеть. Для нас с супругом это просто неожиданность и счастье. Спасибо, что такой врач встретился на моем пути. Рекомендую его всем! Если конечно же не хотите зря выкинуть множество денег на ветер и угробить свое женское здоровье ненужными лекарствами!

    5/5
  • 20 лет

    Надежда

    Найти профессионального, внимательного, ответственного, вникающего в корень проблемы врача-гинеколога - большая удача. Мне повезло) Дмитрий Валерьевич именно такой. Ни ненужных анализов, обследования не нужного не было выписано. Лечение принесло результат. Спасибо!P. S. Прибыла на приём из другого региона. И продолжу наблюдаться у Дмитрия Валерьевича.

    5/5
  • 38 лет

    Ксения

    Мой путь был долог... Прежде чем я попала к Дмитрию Валерьевичу на приём... Но по существу добавить можно следующие, куча денег и опытных врачей не смогли мне дать убежденность и спокойствие, которое я получила на приеме у этого доктора. Уравновешенный, по существу говорящий врач, тщательней и деликатнее, меня никогда никто не осматривал, за мои простите, почти 40 лет... Придя, и ощущаю себя букашкой больной, после прочих дорогих докторов, от Дмитрия Валерьевича я практически на крыльях вылетела, с уверенностью, что я здорова буду и я стану полноценная. Спасибо огромное, ни на секунду не пожалела, что пришла именно к Вам! И подругу уже к Вам записала! Вы прекрасный знаток, мне есть с чем сравнить.

    5/5
  • 22 года

    Юлия

    Была на консультации и УЗИ у врача несколько раз. Очень вдумчивый, грамотный, деликатный и превосходный специалист в своей профессии. Приём и УЗИ проходили удобно, не больно с улыбкой! Дмитрий Валерьевич врач с большой буквы. Не назначит ненужных исследований и приём ненужных лекарств, все точно по делу. Советую его всем своим приятелям, коллегам, родственникам.

    5/5
  • 34 года

    Лея Р.

    Наконец я разыскала настоящего врача! Как-то я увидела информацию о враче, длительно собиралась приехать, т. к. добираться до Краснодара мне 6 часов из моего города. В мае пришла впервые на приёме доктор сделал мне все нужные исследования: УЗИ, кольпоскопию, мазок. Крайне внимательно слушал мои жалобы. На кольпоскопии Дмитрий Валерьевич увидел ту проблему, которую не отыскали в родном городе. И вот в октябре мы эту проблему решили с помощью нового гистероскопа, который пришёл в клинику. Это просто чудо! Без наркоза, без боли врач мастерски выполнил операцию за 40 минут! В обычном режиме необходима госпитализация, наркоз и довольно травматичное вмешательство. Спасибо большущее врачу за то, что благодаря своим знаниям и современному оборудованию, избавляет женщин от ненужных манипуляций. Ну и сейчас я никогда не пожалею времени, чтоб приехать именно к Дмитрию Валерьевичу на приём!

    5/5
  • 41 год

    Галина Владимировна

    Прибыла к доктору за вторым мнением, целиком удовлетворена приемом. В моем городе прописали совершенно другое бесполезное лечение и обследование. Дмитрий Валерьевич произвел кольпоскопию, успокоил: "Это вариант нормы". Я сэкономила деньги и нервы.

    5/5
  • 33 года

    Ирада

    Пришла к врачу Прынь на УЗИ молочных желёз. Он кропотливо провёл обследование, поставил верный диагноз, все разъяснил спокойно и ясно. Понравилось его тактичность, спокойствие, ненужных анализов и таблеток. Все прошло без паники и запугивания. Спасибо огромное, рекомендую!

    5/5
  • 43 года

    Лариса Викторовна

    Современное оборудование, гинекологическое кресло с подогревом, плазменный экран с расслабляющими и отвлекающими видео природы. Великолепный профессионал - Прынь Д. В.! У этого доктора на приёме была два раза (как у маммолога и гинеколога) и оба раза выходила от него с чувством того, что мое здоровье в надёжных руках. Сейчас своё женское здоровье я доверяю только ему. Молодой, компетентный, современный, работающий не по шаблону, а четко вникающий в саму корень проблемы с позиции доказательного подхода в медицине. Беседа с доктором не вызывала дискомфорта, т. е. по-максимуму дружелюбно и корректно, все по делу, но без ненужных назначений и сюсюканий, к слову, которые мне не нравятся. За один визит я практически решила собственные проблемы. Врач провёл осмотр, сделал кольпоскопию, в процессе которой тотчас же устранил «неполадки» (за что дополнительной оплаты не потребовалось! Весьма немаловажный аспект), убедил в том, что нет надобности делать лишние доп. анализы и обследование. Все под контролем и в пределах нормы. Заверил, что я вполне здоровая дама, ещё способная познать радость материнства. Я советую данного врача всем женщинам, кто измучился в бесконечных поисках нормального специалиста, кто вникает в суть современной медицины и своей проблемы, кому не безразлично своё здоровье.

    5/5
  • 40 лет

    Нина

    Обращалась к Дмитрию Валерьевичу дважды и оба раза как к маммологу. Всегда казалось, что проблемы с грудью во время ГВ могут быть только первые месяца два-три, но правда очутилась другой. Последний раз я обращалась к доктору после месяца страданий от периодических лактостазов. Раз-два в неделю и снова боль в груди, уплотнение. Любой раз казалось - ну вот это станет последний, я же верно все делаю, как постоянно советуют. Но лактостаз возвращался. Я пришла в клинику и мне повезло: среди плотной записи к врачу кто-то отказался от места и появилось окошко! На приеме Дмитрий Валерьевич собрал анамнез и тотчас разъяснил, в чем была проблема. Дал рекомендации, не выписал сотню средств, а только одно и то базовое, есть в аптечке любого здравомыслящего человека. Советы для меня выглядели абсолютно неожиданными, они целиком не совпадали с тем, что обычно рекомендуют консультанты по ГВ. Но я решила довериться доктору и уже к вечеру меня ждало облегчение! На следующее утро, вообще, как будто ничего и не бывало! Вот уже прошло несколько недель и ни разу лактостаза не было. И все это спокойно, без паники, накручивания, навязывания чувства вины, неуместных советов прекратить ГВ, потому что ребёнку уже год и якобы "молоко как вода". Спасибо! Чрезвычайно ценно знать, что в нашем городе есть толковый специалист.

    5/5
  • 31 год

    Мелания

    Хочу написать свой комментарий о приеме. Подыскивала акушера-гинеколога, который сможет развеять мои сомнения и дать ответы на все вопросы. Принципиально выбрала Дмитрия Валерьевича, предварительно изучив профиль и отзывы. Дмитрий Валерьевич всё терпеливо выслушал, провёл осмотр, дал советы, порекомендовал, на что необходимо привлечь внимание касаемо здоровья, ответил на все интересующие вопросы и, самое основное, уделил даже больше времени, чтоб можно было уйти со спокойной душой - всё четко, без осуждений и вопросов не по делу, основываясь на доказательной медицине, без ненужных исследований. Сейчас наблюдаться стану только у Дмитрия Валерьевича. Можно потратить большие суммы на врачей, бесконечные анализы, самолечение (которое обойдётся гораздо дороже адекватного лечения), но лучше доверить своё здоровье в надежные руки. Я это сделала и вам рекомендую!

    5/5
  • 36 лет

    Валентина

    Если кто-то сомневается, то персонально я советую Вам записаться на приём к Дмитрию Валерьевичу незамедлительно. Первое, что понравилось - доктор беседует с Вами, детально уточняет всю информацию, а не сидит и печатает что-то на компьютере, не обращая внимания на больного. Все манипуляции врач делает очень бережно, не пугает догадками по поводу диагноза, все по существу. В конце приема даёт подробное диагноз и разъясняет дальнейший порядок действий. Понравилось то, что Дмитрий Валерьевич не выписывает ненужных анализов, только необходимое. Знаю о чем говорю, так как за неделю до приема была у другого доктора, который выписал дообследований на лист формата А4, при этом у меня не было явных жалоб и видимых проявлений какой-то болезни. В общем, я не первый год наблюдаюсь у Дмитрия Валерьевича и поеду на приём только к нему! И всем рекомендую.

    5/5
  • 28 лет

    Лиа

    Чрезвычайно внимательный и аккуратный врач, специалист и чудесный человек! Было весьма комфортно и спокойно на приёме. Дмитрий Валерьевич все кропотливо разъяснил, объяснил, провёл осмотр. Лишние назначения убрал, доступно разъяснил ход действий и лечение. Покинула кабинет с полным ощущением спокойствия и надёжности! Это точно мой доктор! Пришла с проблемой, которая беспокоила полно месяцев, параллельно нужно было ежегодное плановое обследование.

    5/5
  • 33 года

    АНЖЕЛА

    Очень нравится врач, очень умный, отзывчивый, грамотно все объясняет. Спасибо Дмитрию Валерьевичу за свое здоровье Всегда хожу только к нему.

    5/5
  • 31 год

    Алина

    Очень классный врач! Наконец-то вышла с приема, без кучи назначений и плохих слов.. ;) Скорректировал мою небольшую проблему, все стало идеально. Тысячи слов благодарности.

    5/5
  • 20 лет

    Тамила

    Спасибо, доктор Прынь Дмитрий Валерьевич! Вы - замечательный, внимательный и отзывчивый гинеколог, а также прекрасный человек. Я очень благодарна Вам за вашу помощь!

    5/5
  • 39 лет

    Светлана Р.

    С самого первого приема у доктора Прынь Дмитрия Валерьевича, я поняла, что нашла именно того гинеколога, который мне нужен. Несколько лет я обращаюсь к нему со своими женскими проблемами, а также для профилактических осмотров. Дмитрий Валерьевич научил меня серьезно относиться к своему здоровью и теперь я стала порядочным пациентом, держа все под контролем. Я абсолютно уверена в своем враче, так как у него большой опыт работы и высшая категория. Мне повезло иметь такого гинеколога, и мне не приходится, как многим другим женщинам, жаловаться на некомпетентность своего специалиста.

    5/5
  • 27 лет

    Амина

    Я уже проходила через роды ранее, поэтому было с чем сравнить мои вторые роды. И поверьте, вторые роды были несравненно лучше. Важно, чтобы рядом с тобой был опытный и надежный специалист, а для меня таким доктором стал гинеколог Дмитрий Валерьевич Прынь. Он - настоящий Врач с большой буквы, который проявил высокую грамотность и внимание. Дмитрий Валерьевич терпеливо и подробно отвечал на все мои вопросы, а также внимательно контролировал весь процесс родов. Я хочу выразить ему огромную благодарность за его работу и пожелать ему крепкого здоровья и успехов в профессиональной деятельности.

    5/5
  • 19 лет

    Лилия

    Дмитрий Прынь действительно замечательный специалист. Я была очень рада обратиться именно к нему, так как он проявил себя как умный и добрый человек, который аккуратно выполняет свою работу. Мне хотелось бы, чтобы таких врачей, уделяющих большое внимание своим пациентам, было больше.

    5/5
  • 32 года

    Вероника

    Это действительно замечательный специалист! Он проявляет большое внимание к своим пациентам, отличается деликатностью и приятным общением. Врач действительно разбирается в своей профессии, и я настоятельно рекомендую его всем.

    5/5
  • 46 лет

    Вера

    Я недавно была у гинеколога Прынь Дмитрия Валерьевича и осталась очень довольна его работой! Он внимательно относится к возникающим проблемам, тщательно все объясняет, а также предлагает различные варианты лечения. Очень рекомендую этого врача!

    5/5
  • 24 года

    София

    Огромное спасибо доктору Прынь Дмитрию Валерьевичу! Я полностью доверяю ему свое здоровье. Он очень грамотный гинеколог, а осмотры проходят абсолютно незаметно. Учитывая, что у меня высокий порог чувствительности и страх перед физической болью, я выбираю только его приём.

    5/5
  • 26 лет

    Гоар А.

    Мне очень нравится мой гинеколог, Прынь Дмитрий Валерьевич. Он умный и внимательный, всегда грамотно объясняет все, что касается моего здоровья. Я благодарна ему за сохранение и поддержание моего здоровья и продолжаю посещать именно его.

    5/5
  • 19 лет

    Яна Б.

    Ого, какие замечательные специалисты у вас работают! Я очень рада, что нашла такую отличную клинику и смогла попасть к гинекологу Прынь Дмитрию Валерьевичу. Он настоящий профессионал

    5/5
  • 21 год

    Дарья

    Я и моя мама обратились к гинекологу Прынь Дмитрию Валерьевичу, и он просто лучший врач! Благодаря ему, мы смогли успешно решить все наши проблемы. Мы очень довольны его услугами!

    5/5
  • 45 лет

    Людмила Д.

    Дмитрий Валерьевич Прынь - превосходный гинеколог! Я полностью доверяю ему своё женское здоровье и чувствую себя в надёжных руках.

    5/5
  • 28 лет

    Виолетта

    Я недавно посетила замечательного врача-гинеколога Прыня Дмитрия Валерьевича, и была очень довольна приемом! Он не только нашел и исправил небольшую проблему, с которой я пришла, но и не заставил меня уходить с массой назначений и несколько удрученной. Мне стало намного лучше, и я хочу выразить ему огромную благодарность за профессионализм и заботливое отношение. Прынь Дмитрий Валерьевич - по-настоящему классный врач!

    5/5
  • 39 лет

    Варвара

    Делала у Дмитрия Валерьевича операцию - офисную гистероскопию. Все прошло прекрасно, спокойно, безболезенно. На все вопросы дал ответ, хотела бы выразить величайшую благодарность и уверенно посоветовать данного доктора.

    5/5
  • 33 года

    Карина

    Сколько врачей пришлось обойти, пока подруга не посоветовала этого талантливого врача. Что только не ставили предыдущие врачи... И бесплодие... И непроходимость труб... Говорили, если и удастся забеременеть, то это будет чудо. При этом назначая кучу лекарств, которые половина и вовсе не помогали... В 2019 году начала посещать клинику, где принимал Дмитрий Валерьевич. Все по делу, лишнего не выписывал, давал рекомендации. В мае отправил меня на операцию - обнаружил по УЗИэндометриоз, сказал срочно оперироваться, потом 3 месяца искусственного введения в климакс... И после этого спустя 2 месяца получилось забеременеть. Для нас с мужем это просто неожиданность и счастье. Спасибо, что такой доктор встретился на моем пути. Советую его всем! Если конечно же не хотите зря выкинуть кучу денег на ветер и угробить свое женское здоровье ненужными лекарствами!

    5/5
  • 30 лет

    Александра

    Целенаправлено ехала к Дмитрию Валерьевичу из другого города! Каждый год ВПЧ+цитология, в июле 2020 г. - lsil; ВПЧ + с 2018 (только тогда был в первые сдан (в своём городе). Не совсем компетентно была проведена кольпоскопия по месту жительства (по моему мнению, так как доктор сказал, что все в порядке). Но через год (апрель 2021 г.) у Дмитрия Валерьевича: кольпоскопия, биопсия-CIN3. Через 2 недели амбулаторно выполнили эксцизию! Безболезненно, за 15-20 минут, дискомфорт был только при введении зеркала. Сразу после процедуры сама за рулём поехала домой в Ростов. Гистология подтвердила CIN3! Хотелось бы так же отметить подробное описание гистологии! Однозначно советую доктора! Уверена, что мое здоровье в отличных руках профессионала своего дела!

    5/5
  • 29 лет

    Жанна

    Наблюдаюсь у врача в связи с наличием фиброаденомы молочной железы. При очередном плановом осмотре врач порекомендовал провести дополнительное обследование: трепанобиопсию образования, так как меня начала беспокоить боль в груди и немного поменялась форма образования по УЗИ. При этом кормила грудью малыша. Врач провел сам манипуляцию взятия материала. Все было безболезненно. Но к сожалению, после развился мастит. Я сразу сообщила врачу. В тот же день доктор меня принял. Осматривал почти каждый день, без записи между приемами. При этом все осмотры проводил бесплатно. Очень грамотный, отзывчивый врач. Спасибо вам огромное!

    5/5
  • 32 года

    Мария

    Если кто-то сомневается, то лично я рекомендую Вам записаться на приём к Дмитрию Валерьевичу незамедлительно. Первое, что понравилось - врач беседует с Вами, подробно уточняет всю информацию, а не сидит и печатает что-то на компьютере, не обращая внимания на пациента. Все манипуляции доктор проводит очень аккуратно, не пугает догадками по поводу диагноза, все по существу. В конце приема даёт подробное заключение и объясняет дальнейший порядок действий. Очень понравилось, что Дмитрий Валерьевич не назначает лишних анализов, только необходимое. Знаю о чем говорю, так как за неделю до приема была у другого врача, который назначил дообследований на лист формата А4, при этом у меня не было явных жалоб и видимых проявлений какой-то болезни. В общем, я не первый год наблюдаюсь у Дмитрия Валерьевича и поеду на приём только к нему! И всем советую.

    5/5
  • 41 год

    Наталья

    Была на офисной гистероскопии у Дмитрия Валерьевича по поводу рассечения спайки. У доктора золотые руки, все прошло безболезненно, быстро. Мне есть с чем сравнивать, по сравнению с обычной гистероскопией под наркозом, это небо и земля. Все подробно рассказал, показал на экране, дал рекомендации. Больше всего нравится, что доктор действительно не залечивает, не выдумывает диагнозы как многие другие. Очень жаль, что я не знала об этом враче раньше и тратила время и деньги на бездарных врачей.

    5/5
  • 34 года

    Анна

    Выражаю благодарность Прыню Дмитрию Валерьевичу, он успешно установил мне ворд-катетер, у меня в очередной раз воспалилась бартолиновая железа, не хотелось опять чистить её и ждать рецидива, а катетер даёт шанс на исцеление, я проходила месяц ничего не мешало, все комфортно и потом пришла на приём, и врач аккуратно его удалил, чувствую себя прекрасно благодаря грамотному подходу Дмитрия Валерьевича, спасибо за ваше внимание и заботу.

    5/5
  • 25 лет

    Виктория

    Очень внимательный и аккуратный доктор, профессионал и прекрасный человек! Было очень комфортно и спокойно на приёме. Дмитрий Валерьевич все тщательно рассказал, объяснил, провёл осмотр. Лишние назначения убрал, доходчиво объяснил ход действий и лечение. Вышла из кабинета с полным ощущением спокойствия и надёжности! Это точно мой врач!

    5/5
Все отзывы

Записаться на консультацию
к Дмитрию Валерьевичу Прынь